Granuloma de colesterol en el seno maxilar

Jaime Fernández-Espinosa 1, Michelle Lupa-Mendlovic 1, Gerardo Gutiérrez-Santos 1, Antonio Marino-Silva 1, Mestre Mestre-Orozco 2

1 Servicio de Otorrinolaringología, Centro Médico ABC Santa Fe, Ciudad de México, México; 2 Servicio de Patología Quirúrgica, Centro Médico ABC Santa Fe, Ciudad de México, México

*Correspondencia: Michelle Lupa-Mendlovic. Email: michelle.lupa@gmail.com

Fecha de recepción: 01-08-2025

Facha de aceptación: 19-09-2025

DOI: 10.24875/AMH.M25000130

Disponible en internet: 04-12-2025

An Med ABC. 2025;70(Supl 1):7-10

Resumen

El granuloma de colesterol en el seno maxilar es una afección rara, caracterizada por una reacción granulomatosa a cristales de colesterol, generalmente por hemorragias en los senos paranasales. Aunque es más común en el oído medio, también se presenta en otras áreas. Sus síntomas son inespecíficos, como obstrucción nasal, dolor facial y cefalea. El diagnóstico se realiza mediante estudios de imagen y confirmación histopatológica. El tratamiento de elección es la resección quirúrgica. Se presenta el caso de un paciente de 54 años con antecedentes de cirugía endoscópica, cuyo diagnóstico final fue granuloma de colesterol y un quiste dentígero, sin recurrencia.

Palabras clave:  Granuloma de colesterol. Senos paranasales. Seno maxilar.

Contenido

Introducción

El granuloma de colesterol es una afección poco frecuente que consiste en una reacción granulomatosa provocada por cristales de colesterol en los tejidos1,2. Aunque su localización más frecuente es el oído medio y el ápex petroso1,3,4, también se ha descrito en otros sitios, como la mandíbula, el hígado, los pulmones, la mama y el cerebro, siendo su aparición en los senos paranasales poco común. El granuloma de colesterol es más frecuente en los hombres que en las mujeres, con una proporción de 3:1. Generalmente aparece entre los 40 y los 50 años de edad13.

Para explicar su fisiopatología se han propuesto mecanismos como la obstrucción del drenaje y de la ventilación de los senos, lo que genera una presión negativa y provoca hemorragias en la mucosa. Los cristales de colesterol, derivados de la rotura de productos sanguíneos, estimulan una reacción granulomatosa que provoca la formación del granuloma de colesterol3,5. Los antecedentes de traumatismo craneoencefálico o facial, o de cirugías previas en los senos paranasales, se han identificado como factores de riesgo significativos1,3.

Los síntomas principales son inespecíficos e incluyen obstrucción nasal, descarga posterior, rinorrea, dolor facial y cefalea6, aunque la presentación clínica varía según el seno afectado. El seno frontal es el más frecuentemente involucrado, seguido por el seno maxilar. Es fundamental diferenciar el granuloma de colesterol de otros procesos nasosinusales, como mucoceles, tumores benignos y malignos, y procesos inflamatorias crónicos. En la endoscopia nasal puede aparecer como una masa o un pólipo antrocoanal. Sin embargo, el hallazgo más sugestivo antes de la confirmación histopatológica es la presencia de secreción nasal amarillenta1,2.

Las estudios de imagen, como la tomografía computarizada (TC) y la resonancia magnética (RM), son fundamentales para el diagnóstico. En la TC se observa ocupación del seno afectado con densidad de tejidos blandos o un aspecto quístico, en ocasiones acompañada de erosión o expansión ósea1,7. En la RM aparece como una lesión hiperintensa en las secuencias T1 y T2, siendo más precisa que la TC, aunque no se utiliza de forma sistemática en el contexto prequirúrgico1.

El diagnóstico definitivo es histopatológico. La lesión se caracteriza por la presencia de células plasmáticas, histiocitos, células gigantes multinucleadas y linfocitos, rodeando depósitos de colesterol, hemosiderina y otros productos sanguíneos1,2.

El tratamiento de elección es la resección quirúrgica, ya sea mediante abordaje endoscópico o abierto (Caldwell-Luc), dependiendo de su localización1,2,7,8.

Caso clínico

Varón de 54 años con antecedente de cirugía endoscópica funcional de senos paranasales (uncinectomía y antrostomía izquierda) por diagnóstico de sinusitis maxilar un año previo al diagnóstico actual. Se presentó a consulta con obstrucción nasal, rinorrea amarillenta y algia facial de meses de evolución. En la exploración física y endoscópica nasal se observó una lesión de aspecto polipoide proveniente de la antrostomía maxilar previa.

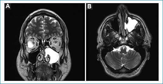
Se le realizó una RM que mostró una lesión hiperintensa que ocupaba la totalidad del seno maxilar izquierdo, con extensión hacia la cavidad nasal sin erosión ósea (Fig. 1).

Figura 1. Resonancia magnética. A: corte coronal, secuencia T2, que muestra una lesión hiperintensa que ocupa la totalidad del seno maxilar izquierdo, con extensión hacia la cavidad nasal sin erosión ósea. B: corte axial, secuencia T2, que muestra una lesión hiperintensa que ocupa la totalidad del seno maxilar izquierdo, con extension hacia la cavidad nasal sin erosión ósea.

Se integró el diagnóstico de sinusitis maxilar izquierda y probable quiste de retención, por lo que se programó para resección endoscópica. Como hallazgos quirúrgicos se reportó quiste maxilar y abundante moco purulento.

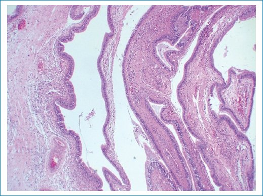
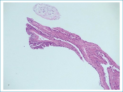
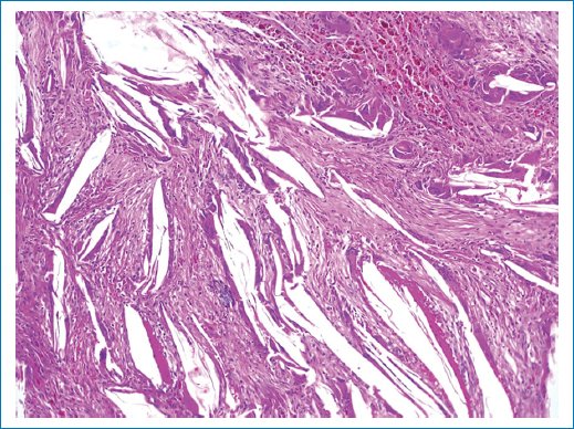
El diagnóstico histopatológico reportó un granuloma de colesterol, negativo para malignidad. Descripción microscópica: al corte histológico se identifica una lesión quística cuya pared está compuesta por tejido conectivo e infiltrado inflamatorio mixto. Se encuentra revestida por epitelio columnar ciliado pseudoestratificado con ocasionales células caliciformes. Se observan escasos focos revestidos por epitelio plano estratificado no queratinizado. Se identifican espacios elongados en el tejido, los cuales son remanentes de cristales de colesterol después de su proceso histológico. Los espacios están asociados a una reacción a cuerpo extraño, tejido de granulación y abundantes hemosiderófagos. Integrando los hallazgos microscópicos con el antecedente de cirugía, se puede establecer el diagnóstico de quiste quirúrgico ciliado y granuloma de colesterol con una posible patología primaria de quiste dentígero (Figs. 2 a 4).

Figura 2. Corte histológico en el que se identifica una lesión quística cuya pared está compuesta por tejido conectivo e infiltrado inflamatorio mixto. Se encuentra revestida por epitelio columnar ciliado pseudoestratificado con ocasionales células caliciformes.

Figura 3. Corte histológico en el que se observan escasos focos revestidos por epitelio plano estratificado no queratinizado.

Figura 4. Corte histológico en el que se identifican espacios elongados en el tejido, los cuales son remanentes de cristales de colesterol después de su proceso histológico. Los espacios están asociado a una reacción a cuerpo extraño, tejido de granulación y abundantes hemosiderófagos.

Actualmente el paciente se mantiene asintomático, sin datos de recurrencia ni recidiva en la exploración física.

Discusión

El granuloma de colesterol en el seno maxilar es una afección poco frecuente, descrita por primera vez en 1978 por Graham y Micheals9, con aproximadamente 40 casos reportados en la literatura internacional3,10. La obstrucción del drenaje y la mala ventilación de los senos paranasales parecen ser factores clave en su patogénesis2. Durgam et al. reportaron que el antecedente de traumatismo craneoencefálico y cirugía previa se presentó en el 14% y el 11% de los casos, respectivamente2,3. En una revisión de la literatura realizada por Alghulikah et al., que incluyó 17 reportes de casos, se encuentra una edad de presentación de 22 a 85 años, con un promedio de 53.5 años, y con una incidencia similar en hombres y mujeres. La mayoría de los pacientes se presentaron con obstrucción nasal, rinorrea y cefalea4,7. Chao7 reporta un rango de edad de 14 a 70 años, con un promedio de 41 años, con predominio en los hombres, y presenta el único caso en la literatura de granuloma de colesterol bilateral.

En nuestro paciente, la edad de presentación fue de 54 años, coincidiendo con la edad promedio reportada por Alghulikah et al.4 en su revisión. El paciente contaba con el antecedente de cirugía endoscópica funcional de senos paranasales por diagnóstico de sinusitis, y sus principales síntomas eran obstrucción nasal, rinorrea y algia facial. El granuloma se resecó sin complicación por vía endoscópica y actualmente el paciente se mantiene sin recidiva ni recurrencia.

El granuloma de colesterol es difícil de sospechar y su diagnóstico suele ser posquirúrgico, ya que los síntomas son similares a los de otras enfermedades inflamatorias de los senos paranasales y no existen hallazgos endoscópicos ni radiológicos característicos. El diagnóstico es histopatológico y el hallazgo principal son los cristales de colesterol rodeados por células multinucleadas gigantes y macrófagos cargados de hemosiderina.

Conclusión

En resumen, aunque los síntomas del granuloma de colesterol son inespecíficos, su presentación con rinorrea hialina amarillenta, junto con hallazgos radiológicos como ocupación del seno maxilar, lesión expansiva con erosión ósea e hiperintensidad en las secuencias T1 y T2 en la RM, deben alertar sobre su posible presencia en los senos paranasales. La mayoría de los casos se asocian con antecedente de traumatismo o cirugía previa en los senos paranasales. El tratamiento actual ha evolucionado hacia técnicas endoscópicas mínimamente invasivas, que presentan ventajas significativas y un bajo riesgo de recurrencia.

Financiamiento

Los autores declaran no haber recibido financiamiento para este estudio.

Conflicto de intereses

Los autores declaran no tener conflicto de intereses.

Consideraciones éticas

Protección de personas y animales. Los autores declaran que para esta investigación no se han realizado experimentos en seres humanos ni en animales.

Confidencialidad, consentimiento informado y aprobación ética. Los autores han seguido los protocolos de confidencialidad de su institución, han obtenido el consentimiento informado de los pacientes, y cuentan con la aprobación del Comité de Ética. Se han seguido las recomendaciones de las guías SAGER, según la naturaleza del estudio.

Declaración sobre el uso de inteligencia artificial. Los autores declaran que no utilizaron ningún tipo de inteligencia artificial generativa para la redacción de este manuscrito.

Bibliografía

1. Kim TH, Lim EJ, Kim S, Kim A. Cholesterol granuloma of the maxillary sinus misdiagnosed as nasal polyp or mucocele:four cases. J Craniofac Surg. 2021;32:e600-2.

2. Durgam A, Batra PS. Paranasal sinus cholesterol granuloma:systematic review of diagnostic and management aspects. Int Forum Allergy Rhinol. 2013;3:242-7.

3. Almada CBM, Fonseca DR, Vanzillotta RR, Pires FR. Cholesterol granuloma of the maxillary sinus. Braz Dent J. 2008;19:171-4.

4. Alghulikah A, Musallam N, Sumaily I, Fathaddin A, Aldossary S. Cholesterol granuloma of the maxillary sinus:a case report and literature review. Allergy Rhinol. 2021;12:2152656720984785.

5. Lee JH, Lee DH. Endoscopic view of cholesterol granuloma of the maxillary sinus. Ear Nose Throat J. 2019;98:634-5.

6. Kunt T, Ozturkcan S, Egilmez R. Cholesterol granuloma of the maxillary sinus:six cases from the same region. J Laryngol Otol. 1998;112:65-8.

7. Chao TK. Cholesterol granuloma of the maxillary sinus. Eur Arch Otorhinolaryngol Head Neck. 2006;263:592-7.

8. Marks SC, Smith DM. Endoscopic treatment of maxillary sinus cholesterol granuloma. Laryngoscope. 1995;105:551-2.

9. Graham J, Michaels L. Cholesterol granuloma of the maxillary antrum. Clin Otolaryngol Allied Sci. 1978;3(2):155-60.

10. Leon ME, Chavez C, Fyfe B, Nagorsky MJ, Garcia FU. Cholesterol granuloma of the maxillary sinus. Arch Pathol Lab Med. 2002;126:217-9.